Artikel

Resynchronisationstherapie gegen Herzschwäche

Bei einigen Formen der Herzinsuffizienz ist der Einsatz eines speziellen Herzschrittmachers sinnvoll.

Abbildung von einem Herzschrittmacher
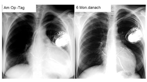
© herzmedizin.berlin Schrittmacher zur Behandlung einer Herzschwäche: Herzvergrößerung als Zeichen einer Herzschwäche (linke Abbildung). Deutliche Herzverkleinerung als Zeichen der Herzkräftigung (rechte Abbildung).

Herzschrittmacher werden klassischerweise zur Behandlung eines zu langsamen Herzschlags (sog. „Bradykardie“) eingesetzt, implantierbare Defibrillatoren zur Verhinderung eines Herzstillstands durch einen sehr schnellen, regellosen Herzschlag, dem Kammerflimmern. Der Einsatz von Herzschrittmachern mit und ohne Defibrillationsfunktion kann aber auch bei Herzschwäche sinnvoll sein. Bei der Resynchronisationstherapie wird den Betroffenen meist ein Dreikammerschrittmacher implantiert. 

Für wen ist die Therapie geeignet?

Bei etwa jeder vierten Person mit Herzschwäche ist die Ausbreitung der Erregung im Herzen gestört. Die einzelnen Abschnitte der Herzwände ziehen sich nicht mehr gleichzeitig zusammen, wodurch die Pumpleistung deutlich abnimmt. Dies zeigt sich im EKG als sogenannter Linksschenkelblock. Diese Störung erhöht bei den Betroffenen das Risiko für einen plötzlichen Herztod. Durch die Resynchronisationstherapie (Cardiac Resynchronisation Therapy, CRT) werden die Herzkammern so stimuliert, dass sie sich wieder synchron bewegen. Die Beschwerden der Herzschwäche werden gelindert und das Risiko für einen plötzlichen Herztod sinkt. Nach den Leitlinien wird die Resynchronisationstherapie empfohlen, wenn eine Herzschwäche trotz optimaler Behandlung mit Medikamenten bereits bei geringen körperlichen Belastungen besteht. 

So funktioniert die Resynchronisationstherapie 

Für die kardiale Resynchronisationstherapie setzt die Ärztin oder der Arzt der Patientin oder dem Patienten in einer Operation meist drei Elektroden ein: Je eine Sonde wird im rechten Vorhof, der rechten Herzkammer sowie der linken Kammer des Herzens platziert. Die Sonden werden an ein Schrittmachergerät angeschlossen, das meist unterhalb des Schlüsselbeins unter der Haut oder dem Brustmuskel implantiert wird. Die Operation dauert etwa 60 bis 90 Minuten. Das Gerät stimuliert beide Herzkammern (biventrikuläre Stimulation) und bewirkt damit, dass diese wieder synchron schlagen. Die Pumpkraft des Herzens nimmt wieder zu. Bei den meisten Patientinnen und Patienten verbessert sich das Befinden durch die Resynchronisationstherapie spürbar. Viele können wieder ohne Atemnot Treppen steigen oder leichte körperliche Arbeit verrichten. Der Erfolg entspricht in etwa der Verbesserung um ein NYHA-Stadium. 

Resynchronisationstherapie mit Defibrillator 

Da bei der Herzinsuffizienz das Risiko von lebensgefährlichen schnellen Herzrhythmusstörungen erhöht ist, werden bei der Resynchronisationstherapie oft kombinierte Systeme mit einem Defibrillator (ICD) eingesetzt. Der Defibrillator erkennt über die Elektroden gefährliche Herzrhythmusstörungen und kann diese durch die Abgabe eines Schocks unterbrechen. Dadurch sinkt das Risiko für einen plötzlichen Herztod.

Komplikationen der Resynchronisationstherapie 

Probleme im Bereich der Elektroden kommen bei Dreikammerschrittmachern etwas häufiger vor als bei Ein- oder Zwei-Sonden-Systemen. Beispielsweise können die Elektroden verrutschen oder brechen und dadurch funktionsuntüchtig werden. Sie müssen dann ausgetauscht werden. Liegt die Elektrode in der linken Herzkammer zu nah am Zwerchfell, kann es zu Zwerchfellzucken kommen, das sich wie ein Schluckauf bemerkbar macht. Eine weitere, weitaus gefährlichere Komplikation ist die Infektion einer Elektrode oder des Schrittmacher-Gerätes. Anzeichen einer Infektion wie Schwellungen und Rötungen im Bereich des Implantationsortes oder Fieber und Schüttelfrost sollten Sie sofort Ihrer Ärztin oder Ihrem Arzt melden.   

Nachsorge bei der Resynchronisationstherapie 

Dreikammerschrittmacher sind komplexe Systeme, die regelmäßig kontrolliert werden müssen. Üblich sind Nachsorgetermine im Abstand von drei bis sechs Monaten. Dabei fragt die Ärztin oder der Arzt Sie nach Ihrem körperlichen und psychischen Befinden und überprüft die Leistungsfähigkeit und Funktion Ihres Herzens. Gegebenenfalls wird der Herzschrittmacher neu programmiert. Bei neueren Systemen kann ein Teil der Nachsorge durch Telemedizin erfolgen.

Experte

Prof. Dr. med. Christoph Stellbrink

Unser Informationsmaterial

Als Mitglied der Herzstiftung erhalten Sie Zugang zum Downloadbereich und können alle Medien direkt lesen. Gerne können Sie Informationsmaterial unter 069 955128-400 oder über den Button Produkt bestellen kostenfrei anfordern.

Videos zur Herzschwäche

Unsere Empfehlungen für Sie

  1. Regelmäßige Bewegung zeigt bei Herzschwäche große Wirkung. Erfahren Sie hier, worauf Patienten beim Training achten sollten.
  2. Bewegung und Medikamente sind die wichtigsten Bausteine der Herzschwäche-Therapie. Informieren Sie sich ausführlich über Behandlungsmöglichkeiten.
  3. Bei der Therapie einer Herzschwäche stehen die Behandlung der Grunderkrankung sowie die Linderung der Beschwerden im Vordergrund.
6 Kommentare
Sie sind bereits Mitglied? Loggen Sie sich ein, um für alle sichtbar als verifiziertes Mitglied zu kommentieren.

Bitte beachten Sie, medizinische Anfragen werden direkt unkommentiert gelöscht. Wenden Sie sich bei medizinischer Auskunft bitte direkt an unsere Sprechstunde unter sprechstunde@herzstiftung.de. Folgende Angaben werden zusammen mit Ihrem Kommentar veröffentlicht. Alle Felder sind dabei optional und editierbar. Für mehr Details lesen Sie bitte die Datenschutzhinweise

Überprüfen Sie bitte das Recaptcha.
Christian K. München

Sehr guter Überblick, der einem bei der Entscheidung für diesen Eingriff sicherlich einen wertvollen Beitrag leistet.

Andrea

Verständlich erklärt, was mein kleiner Herzroboter so leistet. Danke!

DORIS BRUNS Gehrden

Ich fand den Beitrag sehr gut, es wäre schön wenn ich noch jemanden hören könnte der einen Defibrilator hat

Frau Gabriele Hentschel Monheim am Rhein

Danke, verständlich erklärt. Ich werde mich wohl an den Gedanken gewöhnen müssen, dass mir das alles helfen wird, ein qualitativ besseres Leben zu führen.

Udo Nitz 90607 Rückersdorf

Vielen Dank. Sehr übersichtlich und verständlich

Hans-Jörg Geibel 91717 Wassertrüdingen

Vielen Dank für die Aufklärung. Ich bekomme ein 3 Sonden CRT Gerät implantiert. Deshalb möchte ich alles wissen, was mich erwartet.

Bild vom  neuen Lexikon

Ihr Extra als Neu-Mitglied: das Herz-Lexikon

Freuen Sie sich als neues Mitglied auf ein besonderes Willkommensgeschenk: das aktuelle Herz-Lexikon mit 100 Seiten wertvollem Wissen. Es erklärt wichtige Fachbegriffe verständlich und unterstützt Sie bei Ihrem nächsten Arztbesuch.